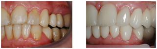
Korona porcelanowa pełnoceramiczna Skierniewice
Pacjenci szukali zabiegu korona porcelanowa pełnoceramiczna w pobliżu Skierniewic, w miejscowościach: Żyrardów, Brzeziny, Grodzisk Mazowiecki oraz Tomaszów Mazowiecki.
Pacjenci szukali zabiegu korona porcelanowa pełnoceramiczna w pobliżu Skierniewic, w miejscowościach: Żyrardów, Brzeziny, Grodzisk Mazowiecki oraz Tomaszów Mazowiecki.