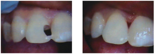
Wypełnienie ubytku światłoutwardzalne Polanica-Zdrój i okolice

Bezpośrednio w Polanicy-Zdroju nie dysponujemy placówką wykonującą wypełnienie ubytku światłoutwardzalne, natomiast możemy zaproponować wykonanie zabiegu w jednej z 1 innych klinik z okolicy Polanicy-Zdroju. Wypełnienie ubytku światłoutwardzalne można przeprowadzić m.in. w CM LUX MED - stomatologia Wałbrzych w Wałbrzychu (47 km od Polanicy-Zdroju) w cenie 290 zł. Poniżej prezentujemy wszystkie alternatywne placówki, do których można umówić się na wizytę przez Kliniki.pl.

Wpisz zabieg, miejscowość, klinikę lub lekarza…