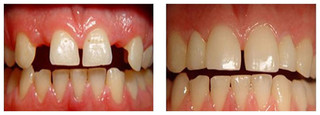
Licówki to cienkie płytki przyklejane do powierzchni odpowiednio przygotowanego (przede wszystkim lekko spiłowanego) zęba. Mimo, że ich założenie jest zabiegiem popularnym, nie należy do prostych. Wymaga dużej precyzji zarówno od technika dentystycznego przygotowującego licówki, jak i od dentysty, który je zakłada. Ostateczny efekt uzyskiwany po założeniu licówek jest jednak trwały, dzięki czemu możemy się cieszyć pięknym uśmiechem przez wiele długich lat. Ze względu na materiały, z których są wykonywane, licówki dzielimy między innymi na licówki akrylowe, licówki kompozytowe i licówki ceramiczne. Dostępne są również licówki porcelanowe i licówki pełnoceramiczne.
Które placówki w Gorzowie Wielkopolskim zajmują się zakładaniem licówek?
W Gorzowie Wlkp. znajdziemy sporo małych gabinetów i większych klinik dentystycznych oferujących nowoczesne licówki. Zalicza się do nich na przykład AESTHETIC DENT, która ma również swój oddział w Szczecinie. Placówka oferuje bardzo szeroki wachlarz usług związanych z dbaniem o piękny uśmiech, posiada sześcioosobowy personel lekarski. Należą do niego dr n. med. Marcin Tutak (specjalista protetyki stomatologicznej), dr hab. n. med. Katarzyna Sporniak-Tutak (specjalista chirurgii szczękowej i stomatologicznej), dr n. med. Magdalena Miedzik (specjalista ortodoncji), lek. stom. Marta Kłonica, dr n. med. Piotr Tysiewicz (specjalista chirurgii stomatologicznej) oraz dr n. med. Tomasz Smektała (specjalista stomatologii zachowawczej).
Licówki w Gorzowie Wielkopolskim zakładane są także w Gabinecie Stomatologii Estetycznej Vita Dent. Oprócz nich wygląd zębów w placówce poprawimy za pomocą wybielania zębów, koron oraz zamykania diastem i trem z użyciem materiału światłoutwardzalnego. Leczyć się można tu państwowo (z Narodowego Funduszu Zdrowia), jak i prywatnie.
Centrum Implantologii i Medycyny Estetycznej CIISE.PL w Gorzowie przy ulicy Dekerta 55A również posiada w swojej ofercie licówki. Misją pracujących tam lekarzy i asystentek jest: leczyć profesjonalnie, nowocześnie i z głową. Placówkę prowadzi lekarz implantolog Patryk Miklejewski, który współpracuje na stałe z trzema lekarzami dentystami. Klinika posiada nowoczesny tomograf komputerowy, który wykonuje zdjęcia zębów w technologii 3D. Dzięki temu lekarze na miejscu mogą dokładnie sprawdzić stan zębów pacjenta, zyskując pełny obraz diagnostyczny.



