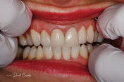
Cienkie płatki porcelanowe, ceramiczne lub kompozytowe, mocowane na wargowej stronie zębów, to tak zwane licówki. Dzięki nim można rozjaśnić zęby, nadać im właściwy kształt, wydłużyć je czy zlikwidować diastemę. Licówki stanowią również dobre rozwiązanie w przypadku niewielkiej korekty ustawienia zębów, np. ich stłoczenia, warto jednak pamiętać, że nie zastąpi to leczenia ortodontycznego.
Gdzie po licówki we Wrocławiu?
Licówki porcelanowe ma w swojej ofercie zlokalizowane na Starym Mieście Europejskie Centrum Implantologii i Stomatologii Estetycznej Prestige Dent. Wielu pacjentów z pewnością zainteresuje fakt, iż placówka może zaproponować im także ciekawą alternatywę dla tego rozwiązania. Jest nią licówka porcelanowa ultracienka Lumineers, która nie wymaga szlifowania zęba przed założeniem. W Prestige Dent licówki zakłada lek. dent. Damian Nasulicz, specjalista w dziedzinie implantologii i implantoprotetyki stomatologicznej. Lekarz ten został trzykrotnie uhonorowany statuetką Kryształowego Tytana, przyznawaną najlepszym fachowcom w dziedzinie implantologii stomatologicznej oraz "Medalem Europejskim" za wykorzystanie w implantologii stomatologicznej zaawansowanej techniki wirtualnego planowania 3D.
Licówki kompozytowe we Wrocławiu
Decydując się na licówki kompozytowe, warto udać się do Specjalistycznego Centrum Stomatologicznego DENS 1, położonego na Starym Mieście. Tutejsi specjaliści mogą zaproponować swoim pacjentom także licówki porcelanowe oraz pełnoceramiczne, które wyróżniają się bardziej naturalnym wyglądem i lepszą jakością. Licówki porcelanowe założymy także w klinice DENTAL cover, która znajduje się w dzielnicy Fabryczna.
Inne popularne wrocławskie gabinety stomatologiczne to m.in.:
- Miserante Dental (Stare Miasto)
- Unident Union Dental Spa (Śródmieście)
- OrtoDent (Krzyki)
- Dental Corner (Psie Pole)
Pozostałe dolnośląskie kliniki stomatologiczne
Kolor i kształt zębów dzięki licówkom porcelanowym i kompozytowym poprawimy w specjalistycznych gabinetach stomatologicznych Denta, gdzie ponadto skorygujemy umiarkowane wady ich położenia. Warunkiem zastosowania metody jest brak próchnicy i żywy, nie przeleczony kanałowo ząb. Oferta obejmuje ponadto licówki addycyjne, służące do korekty przerw międzyzębowych (diastemy i tremy), całkowicie bez konieczności szlifowania zębów. Ponieważ jest to metoda nieodwracalna, specjaliści nie ukrywają, że raz oszlifowany pod licówkę ząb już zawsze będzie musiał być nią zaopatrzony.
Licówki porcelanowe to również propozycja Studia Stomatologii, gdzie wskazaniem do ich wykonania są nie tylko przebarwienia i nieestetyczny kształt zębów, ale także złamania brzegu siecznego czy utrata części korony zęba. Licówki są wówczas alternatywą dla odbudowy kompozytowej i najbardziej estetycznym uzupełnieniem brakującego fragmentu. Preparacja zęba odbywa się w obszarze nieunerwionego szkliwa oraz w obszarach przydziąsłowych, stąd konieczność podania znieczulenia. Cała procedura wymaga dwóch wizyt, a przeprowadza ją dr n. med. Tomasz Marchut.



