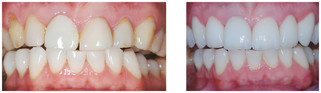
Licówki to uzupełnienia protetyczne zakładane z reguły na przednie zęby w celu poprawy ich wyglądu. Wykorzystuje się je m.in. w przypadku przebarwień korony zęba, korekcji jego kształtu, przy złamaniu brzegu siecznego zęba przedniego czy do zamknięcia przerw między zębami. Najpopularniejsze licówki to licówki kompozytowe, ceramiczne, pełnoceramiczne i porcelanowe. Czym się one od siebie różnią i na które warto się zdecydować?
Gdzie po licówki w Krakowie?
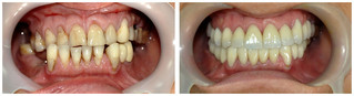
Położona w dzielnicy Prądnik Biały Klinika Krakowska może zaproponować swoim pacjentom licówki porcelanowe. To właśnie ten rodzaj licówek posiada wiele znanych z telewizji gwiazd. Mocowane bezpośrednio do szkliwa zębów bez wcześniejszego szlifowania, pozwalają zachować naturalne zęby i nie powodują uczucia dyskomfortu. Efektem jest piękny, hollywoodzki uśmiech. Podobne efekty zapewniają licówki pełnoceramiczne, które w swojej ofercie posiada Instytut Stomatologii i Dermatologii „Ruczaj Clinic” położony w dzielnicy Dębniki.
Licówki kompozytowe w Krakowie
Licówki kompozytowe są nawet kilkakrotnie tańsze od tych ceramicznych i porcelanowych. Są jednak jednolite kolorystycznie, a to sprawia, że wyglądają nieco sztucznie. Ich minusem jest także skłonność do powstawania żółtych przebarwień. Kliniki stomatologiczne często mogą zaproponować swoim pacjentom różne rodzaje licówek, dostosowane do ich potrzeb oraz zasobności portfela. Jednym z takich miejsc jest 3g Dentist (dzielnica Grzegórzki), które w swojej ofercie posiada licówki kompozytowe oraz ceramiczne. Lek. dent. Marek Woźniacki, właściciel kliniki, specjalizuje się w nowoczesnej endodoncji, implantologii oraz protetyce.
Inne popularne kliniki stomatologiczne w Krakowie to:
- DENTestetica (Krowodrza)
- BJB Stomatologia Estetyczna (Grzegórzki)
- Denta Med (Stare Miasto)
Pozostałe krakowskie kliniki stomatologiczne
Centrum Stomatologii i Implantologii Stomatologia Cichoń oferuje założenie licówek pełnoceramicznych, a także założenie korony metalowej licowanej porcelaną czy korony pełnoceramicznej Procera. Takimi i innymi zabiegami zajmuje się lek. dent. Bartosz Cichoń, specjalista protetyki i stomatologii estetycznej, który przynależy do polskich i zagranicznych stowarzyszeń implantologicznych, np. do International Congress of Oral Implantologists - ICOI.
Klinika Śliczna to gabinet stomatologiczny w Krakowie, gdzie można skorzystać z założenia licówek porcelanowych, wybielania zębów lampą Beyond oraz korektą kształtu i koloru zębów z zastosowaniem materiałów nanohybrydowych. Dodatkowo pacjent może założyć tutaj także most i koronę pełnoceramiczną lub metalowo-porcelanową, oraz protezę całkowitą akrylową. Pacjentów przyjmuje na leczenie lek. dent. Agata Szarżanowicz-Płyś, stomatolog, zajmująca się stomatologią zachowawczą, chirurgią i protetyką stomatologiczną.
W Specjalistycznym Centrum Stomatologii Rodzinnej, Implantologii i Ortodoncji Dentamax lekarze zajmują się m.in. protetyką, z zakresu której oferują swoim pacjentom licówki porcelanowe EMAX oraz licówki kompozytowe wzmacniane włóknem szklanym. Ponadto zakładają korony porcelanowe na złocie, korony pełnoceramiczne a także korony kompozytowe wzmacniane włóknem szklanym.

