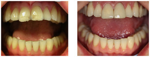
Licówki, które są cienkimi nakładkami, przyklejanymi na przedniej stronie zęba, wykorzystuje się w celu uzyskania estetycznego uśmiechu poprzez zmianę kształtu lub koloru zębów. Stosuje się je nie tylko w przypadku mocno zniszczonych lub przebarwionych zębów, ale również niewielkich wad zgryzu. Istnieje kilka rodzajów licówek, takich jak porcelanowe (najpopularniejsze), kompozytowe, ceramiczne oraz akrylowe.
Nałożenie licówek w Tychach – gdzie można udać się na zabieg
W Tychach zabieg nałożenia licówki wykonać może lek. stom. Janusz Słomka, specjalista stomatolog ogólny, który specjalizuje się w kosmetycznych rozwiązaniach protetycznych, opartych na estetyce porcelanowej. Do poprawy estetyki uśmiechu wykorzystuje licówki porcelanowe, stosuje także korony i mosty porcelanowe, pełnoceramiczne oraz protezy bezklamrowe i teleskopowe. Udać się do niego można także na ultradźwiękowe usuwanie kamienia, jednodniowe wybielanie zębów oraz zabiegi poprawiające kosmetykę przedniego odcinka łuków zębowych. Jego oferta obejmuje ponadto profilaktykę przeciwpróchniczą, praktykę na implantach systemu Tio Logic oraz leczenie kanałowe w systemie endometrii.
Na rozwiązanie problemu nieestetycznego uśmiechu za pomocą licówek w Tychach udać się także można do Kliniki Pięknego Uśmiechu Dental Care, w której świadczona jest cała gama usług z zakresu protetyki i stomatologii estetycznej. W placówce stosuje się klasyczne licówki pełnoceramiczne oraz specjalne licówki ceramiczno-cyrkonowe, których zastosowanie nie wymaga szlifowania zębów. W gabinecie do poprawy kształtu i koloru zębów wykorzystuje się również korony. Oferta Kliniki obejmuje estetyczną odbudowę zęba za pomocą materiału nanohybrydowego, wybielanie zębów martwych, wybielanie nakładowe oraz wybielanie metodą Beyond (efekt po pierwszej wizycie).
Do korekty kształtu zęba licówki wykorzystuje się również w Centrum Stomatologii Studio Uśmiechu. W ośrodku stosuje się licówki porcelanowe oraz ceramiczne. W celu poprawy estetyki uśmiechu w placówce używa się także wysoko estetycznych wypełnień kompozytowych, koron protetycznych, mostów protetycznych oraz implantów. Do gabinetu udać się również można na wybielanie zębów za pomocą lamy Beyond lub nakładek, piaskowanie, fluoryzację kontaktową oraz usuwanie kamienia.

