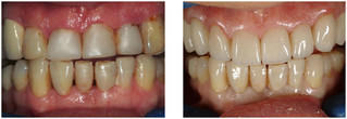
Licówki zębowe Brzeg i okolice

Bezpośrednio w Brzegu nie dysponujemy placówką wykonującą licówki, natomiast możemy zaproponować wykonanie zabiegu w jednej z 13 innych klinik z okolicy Brzegu. Licówki można przeprowadzić m.in. w Denticam Manufaktura Uśmiechu we Wrocławiu (39 km od Brzegu) w cenie 2000 zł lub w enel-med stomatologia, oddział Szczytnicka we Wrocławiu (40 km od Brzegu) gdzie cena za licówki wynosi 800 zł. Wiecej informacji na temat zabiegu można przeczytać tutaj. Poniżej prezentujemy wszystkie alternatywne placówki, do których można umówić się na wizytę przez Kliniki.pl.

Licówki najbliżej Brzegu - cena

Prezentujemy poniżej ceny związane z procedurą licówki najbliżej Brzegu na podstawie cenników z 13 placówek. Najniższa cena to 480 zł za licówka kompozytowa natomiast najwyższa cena w Brzegu wynosi do 3340 zł (licówka porcelanowa).

Ile kosztuje licówki w najbliższej odległości od Brzegu?

Poniższy wykres przedstawia wizualnie minimalne i maksymalne ceny najpopularniejszych metod w ramach usługi licówki najbliżej Brzegu:

cena minimalna
cena maksymalna

Tabela cen licówki najbliżej Brzegu

Tabelaryczne zestawienie szczegółowych cen w zależności od metody oraz placówki:

  • Licówka pełnoceramiczna
    Wrocław, Grabiszyńska 89(41 km od Brzegu)

    od 2500 zł
    do 2500 zł

    Wrocław, Powstańców Śląskich 60(41 km od Brzegu)
    klasyczna - 2350 złultracienka bez szlifowania zębów - 2450 zł

    od 2350 zł
    do 2450 zł

    Wrocław, Przyjaźni 6(41 km od Brzegu)

    2000 zł

  • Licówka kompozytowa
    Wrocław, Łaciarska 5(41 km od Brzegu)
    wykonana w gabinecie - 800-1000 zł wykonana w Pracowni Protetycznej - 1800 zl

    od 800 zł
    do 1800 zł

    Wrocław, Powstańców Śląskich 60(41 km od Brzegu)

    950 zł

    Wrocław, Kasztanowa 4a(41 km od Brzegu)
    wykonana w gabinecie

    od 480 zł
    do 850 zł

    Wrocław, Szczytnicka 11(41 km od Brzegu)
    Licówka kompozytowa GRADIA - 800 zł Licówka kompozytowa /flow injection za 1 ząb (metodą bezpośrednią) - 830 zł Licówka kompozytowa materiał ENAMEL - 840 zł

    od 800 zł
    do 840 zł

    Wrocław, Lotnicza 12(41 km od Brzegu)
    Licówka kompozytowa GRADIA - 800 zł Licówka kompozytowa /flow injection za 1 ząb (metodą bezpośrednią) - 830 zł Licówka kompozytowa materiał ENAMEL - 840 zł

    od 800 zł
    do 840 zł

    Wrocław, Legnicka 16(41 km od Brzegu)
    Licówka kompozytowa GRADIA - 800 zł Licówka kompozytowa /flow injection za 1 ząb (metodą bezpośrednią) - 830 zł Licówka kompozytowa materiał ENAMEL - 840 zł

    od 800 zł
    do 840 zł

    Opole, Fieldorfa 2(38 km od Brzegu)
    Kosmetyczne pokrycie niedorozwoju szkliwa - licówka z kompozytu - od 715 zł Kosmetyczne pokrycie niedorozwoju szkliwa - licówka z kompozytu - materiał - od 360 zł Kosmetyczne pokrycie przebarwienia zębiny w zębach przednich - licówka z kompozytu - od 715 zł Kosmetyczne pokrycie przebarwienia zębiny w zębach przednich - licówka z kompozytu - materiał - od 360 zł

    od 715 zł
    do 715 zł

    Wrocław, Piotra Skargi 3(41 km od Brzegu)
    Kosmetyczne pokrycie niedorozwoju szkliwa - licówka z kompozytu - od 780 zł Kosmetyczne pokrycie niedorozwoju szkliwa - licówka z kompozytu - materiał - od 425 zł Kosmetyczne pokrycie przebarwienia zębiny w zębach przednich - licówka z kompozytu - od 780 zł Kosmetyczne pokrycie przebarwienia zębiny w zębach przednich - licówka z kompozytu - materiał - od 425 zł

    od 780 zł
    do 780 zł

  • Licówka porcelanowa
    Wrocław, Skwierzyńska 26 b(41 km od Brzegu)

    od 2000 zł
    do 2000 zł

    Wrocław, Łaciarska 5(41 km od Brzegu)

    2000 zł

    Wrocław, Szybowcowa 31(41 km od Brzegu)

    2800 zł

    Wrocław, Kasztanowa 4a(41 km od Brzegu)

    1800 zł

    Wrocław, Wyspa Słodowa 9(41 km od Brzegu)
    licówka porcelanowa przy metamorfozie uśmiechu - 1800 zł

    2000 zł

    Wrocław, Szczytnicka 11(41 km od Brzegu)
    Licówka porcelanowa - 2800 zł Licówka porcelanowa Sverkera - 3046 zł

    od 2800 zł
    do 3046 zł

    Wrocław, Lotnicza 12(41 km od Brzegu)
    Licówka porcelanowa - 2800 zł Licówka porcelanowa Sverkera - 3046 zł

    od 2800 zł
    do 3046 zł

    Wrocław, Legnicka 16(41 km od Brzegu)
    Licówka porcelanowa - 2800 zł Licówka porcelanowa Sverkera - 3046 zł

    od 2800 zł
    do 3046 zł

    Opole, Fieldorfa 2(38 km od Brzegu)
    Licówka porcelanowa - od 2860 zł Licówka porcelanowa boczna - od 3340 zł

    od 2860 zł
    do 3340 zł

    Wrocław, Piotra Skargi 3(41 km od Brzegu)
    Licówka porcelanowa - od 2270 zł Licówka porcelanowa boczna - od 2950 zł

    od 2270 zł
    do 2950 zł

Posiadamy również ofertę w 43 innych miastach. Sprawdź ceny licówki w innych miastach.

Więcej na temat licówki

Wpisz zabieg, miejscowość, klinikę lub lekarza…