DontiCa
- Korona pełnoceramiczna na implancie od 2700 zł
- Wszczepienie mikroimplantu 800 zł
- Konsultacja implantologicznazadzwoń

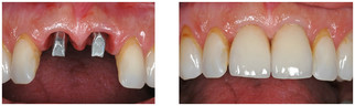
Nie ulega wątpliwości, że implanty stomatologiczne stanowią obecnie najlepszą metodę uzupełniania ubytków w uzębieniu. A gdyby tak można byłoby wykonać ten zabieg, nie narażając pacjenta na ból i inne dolegliwości pozabiegowe? Wszystkie te problemy rozwiązuje nowatorski system MGuide, który pozwala na wszczepienie implantów bez konieczności nacinania i odwarstwiania dziąsła. Jest to możliwe dzięki zastosowaniu specjalnych szablonów chirurgicznych. Lek. dent. Tomasz Niżański opowie jak przebiega implantacja techniką MGuide i kiedy warto zdecydować się na tę metodę.

Kolbuszowa posiadamy w ofercie 1 specjalistów, którzy są ekspertami od tej usługi. Lekarze przyjmują pacjentów w 5 różnych placówkach.
Prezentujemy poniżej ceny związane z procedurą implantologia Kolbuszowa na podstawie cenników z 5 placówek. Najniższa cena to 2000 zł za wszczepienie implantu natomiast najwyższa cena Kolbuszowa wynosi do 48140 zł (implanty zębowe Straumann).
Poniższy wykres przedstawia wizualnie minimalne i maksymalne ceny najpopularniejszych metod w ramach usługi implantologia w Kolbuszowa placówkach:
Tabelaryczne zestawienie szczegółowych cen w zależności od metody oraz placówki:
od 4255 zł
do 48140 zł
4000 zł
od 4255 zł
do 4815 zł
od 3500 zł
do 3700 zł
od 2000 zł
do 2000 zł
Posiadamy również ofertę w 42 innych miastach. Sprawdź ceny implantologia w innych miastach.
Pacjenci szukali zabiegu implantologia w pobliżu Kolbuszowa, w miejscowościach: Mielec, Dębica, Tarnobrzeg oraz Sandomierz.