Korona porcelanowa pełnoceramiczna Wejherowo i okolice

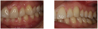
Bezpośrednio w Wejherowie nie dysponujemy placówką wykonującą korona porcelanowa pełnoceramiczna, natomiast możemy zaproponować wykonanie zabiegu w jednej z 4 innych klinik z okolicy Wejherowa. Korona porcelanowa pełnoceramiczna można przeprowadzić m.in. w Medycyna SimClinic w Gdańsku (34 km od Wejherowa) w cenie 2200 zł lub w enel-med stomatologia, oddział Grunwaldzka w Gdańsku (33 km od Wejherowa) gdzie cena za korona porcelanowa pełnoceramiczna wynosi 3480 zł. Wiecej informacji na temat zabiegu można przeczytać tutaj. Poniżej prezentujemy wszystkie alternatywne placówki, do których można umówić się na wizytę przez Kliniki.pl.

Korona porcelanowa pełnoceramiczna najbliżej Wejherowa - cena

Prezentujemy poniżej ceny procedury korona porcelanowa pełnoceramiczna w 4 placówkach w Wejherowie. Najniższa cena wynosi 1400 zł w Stomatologia Estetyczna, najwyższa to 3480 zł, natomiast średni koszt to 2395 zł.

Ile kosztuje korona porcelanowa pełnoceramiczna w najbliższej odległości od Wejherowa?

Poniższy wykres przedstawia wizualnie minimalne i maksymalne ceny najpopularniejszych metod w ramach usługi korona porcelanowa pełnoceramiczna najbliżej Wejherowa:

Posiadamy również ofertę w 22 innych miastach. Sprawdź ceny korona porcelanowa pełnoceramiczna w innych miastach.

Więcej na temat korona porcelanowa pełnoceramiczna

Wpisz zabieg, miejscowość, klinikę lub lekarza…