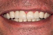
Korony zębowe Gdynia

Inne placówki w pobliżu Gdyni

Lekarze wykonujący korony w Gdyni

W Gdyni posiadamy w ofercie 3 specjalistów, którzy są ekspertami od tej usługi. Lekarze przyjmują pacjentów w 13 różnych placówkach. Usługa korony zębowe w Gdyni jest najczęściej wykonywana przez stomatologa.

lek. dent. Anna Sarzyńska

protetyk stomatologiczny

w Anna Dental Clinic

lek. dent. Alicja Paduszyńska

stomatolog

w Anna Dental Clinic

lek. dent. Adrian Przewoski

stomatolog estetyczny, endodonta, chirurg stomatolog

w Anna Dental Clinic

10 / 10

Korony Gdynia - cena

Prezentujemy poniżej ceny związane z procedurą korony w Gdyni na podstawie cenników z 13 placówek. Najniższa cena to 100 zł za korona tymczasowa kompozytowa natomiast najwyższa cena w Gdyni wynosi do 3730 zł (korona porcelanowa pełnoceramiczna).

Ile kosztuje korony w Gdyni?

Poniższy wykres przedstawia wizualnie minimalne i maksymalne ceny najpopularniejszych metod w ramach usługi korony w gdyńskich placówkach:

cena minimalna
cena maksymalna

Tabela cen korony w Gdyni

Tabelaryczne zestawienie szczegółowych cen w zależności od metody oraz placówki:

Posiadamy również ofertę w 46 innych miastach. Sprawdź ceny korony w innych miastach.

Pacjenci szukali zabiegu korony w pobliżu Gdyni, w miejscowościach: Rumia oraz Wejherowo.

Więcej na temat korony

Wpisz zabieg, miejscowość, klinikę lub lekarza…