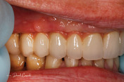
Korona cyrkonowa na implancie Gliwice

Inne placówki w pobliżu Gliwic

Lekarze wykonujący korona cyrkonowa na implancie w Gliwicach

W Gliwicach posiadamy w ofercie 1 specjalistów, którzy są ekspertami od tej usługi. Lekarze przyjmują pacjentów w 5 różnych placówkach. Usługa korona cyrkonowa na implancie w Gliwicach jest najczęściej wykonywana przez implantologa.

dr n. med. Daniel Ciapiński

stomatolog, implantolog, chirurg stomatolog

w DENTRUM

9,8 / 10

Korona cyrkonowa na implancie Gliwice - cena

Prezentujemy poniżej ceny procedury korona cyrkonowa na implancie w 5 placówkach w Gliwicach. Najniższa cena wynosi 3240 zł w CM LUX MED - stomatologia Sosnowiec, najwyższa to 5000 zł, natomiast średni koszt to 3684 zł.

Ile kosztuje korona cyrkonowa na implancie w Gliwicach?

Poniższy wykres przedstawia wizualnie minimalne i maksymalne ceny najpopularniejszych metod w ramach usługi korona cyrkonowa na implancie w Gliwice placówkach:

Posiadamy również ofertę w 21 innych miastach. Sprawdź ceny korona cyrkonowa na implancie w innych miastach.

Pacjenci szukali zabiegu korona cyrkonowa na implancie w pobliżu Gliwic, w miejscowościach: Tychy.

Więcej na temat korona cyrkonowa na implancie

Wpisz zabieg, miejscowość, klinikę lub lekarza…