Inne placówki w pobliżu Torunia

Licówka porcelanowa Toruń - cena

Prezentujemy poniżej ceny procedury licówka porcelanowa w 5 placówkach w Toruniu. Najniższa cena wynosi 1800 zł w Klonko-Dent, najwyższa to 2970 zł, natomiast średni koszt to 2424 zł.

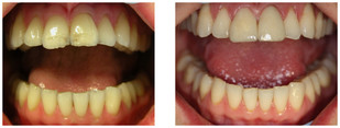
Ile kosztuje licówka porcelanowa w Toruniu?

Poniższy wykres przedstawia wizualnie minimalne i maksymalne ceny najpopularniejszych metod w ramach usługi licówka porcelanowa w toruńskich placówkach:

Posiadamy również ofertę w 45 innych miastach. Sprawdź ceny licówka porcelanowa w innych miastach.

Pacjenci szukali zabiegu licówka porcelanowa w pobliżu Torunia, w miejscowościach: Inowrocław.

Więcej na temat licówka porcelanowa

Wpisz zabieg, miejscowość, klinikę lub lekarza…