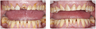
Odbudowa zęba kompozytem Toruń
Lekarze wykonujący odbudowa zęba kompozytem w Toruniu
W Toruniu posiadamy w ofercie 1 specjalistów, którzy są ekspertami od tej usługi. Lekarze przyjmują pacjentów w 2 różnych placówkach. Usługa odbudowa zęba w Toruniu jest najczęściej wykonywana przez stomatologa.
Odbudowa zęba kompozytem Toruń - cena
Prezentujemy poniżej ceny procedury odbudowa zęba kompozytem w 2 placówkach w Toruniu. Najniższa cena wynosi 250 zł w Klonko-Dent, najwyższa to 300 zł, natomiast średni koszt to 275 zł.
Ile kosztuje odbudowa zęba kompozytem w Toruniu?
Poniższy wykres przedstawia wizualnie minimalne i maksymalne ceny najpopularniejszych metod w ramach usługi odbudowa zęba kompozytem w toruńskich placówkach:
Posiadamy również ofertę w 29 innych miastach. Sprawdź ceny odbudowa zęba kompozytem w innych miastach.
Pacjenci szukali zabiegu odbudowa zęba kompozytem w pobliżu Torunia, w miejscowościach: Inowrocław.
