Odbudowa zęba kompozytem zdjęcia przed i po

Zebraliśmy poniżej 35 zdjęć efektów przed i po zabiegu odbudowa zęba kompozytem, wykonanych przez 74 lekarzy (stomatolodzy, stomatolodzy zachowawczy z endodoncją i protetycy stomatologiczni) w ramach 57 placówek i 5 miast. Doradcy medyczni Kliniki.pl pomogą Państwu w znalezieniu terminu oraz rejestracji konsultacji w zakresie stomatologia.

Odbudowa zęba kompozytem efekty po zabiegu

Odbudowa kompozytowa wykonana techniką minimalnie inwazyją
w powiększeniu i bezboleśnie
podczas jednej wizyty w gabinecie
Odbudowa kompozytowa wykonana techniką minimalnie inwazyją w powiększeniu i bezboleśnie podczas jednej wizyty w gabinecie
Mikroinwazyjne opracowanie próchnicy
w bruzdach zęba trzonowego
wraz z odbudową naśladującą naturalną anatomię i strukturę powierzchni
Mikroinwazyjne opracowanie próchnicy w bruzdach zęba trzonowego wraz z odbudową naśladującą naturalną anatomię i strukturę powierzchni
Wymiana starego wypełnienia amalgamatowego
na wytrzymały kompozyt
z zachowaniem budowy anatomicznej powierzchni żującej zęba
Wymiana starego wypełnienia amalgamatowego na wytrzymały kompozyt z zachowaniem budowy anatomicznej powierzchni żującej zęba
Minimalnie inwazyjne opracowanie próchnicy w bruzdach zębów przedtrzonowych (4 i 5) wraz z wypełnieniem nanocząsteczkowym kompozytem
Minimalnie inwazyjne opracowanie próchnicy w bruzdach zębów przedtrzonowych (4 i 5) wraz z wypełnieniem nanocząsteczkowym kompozytem
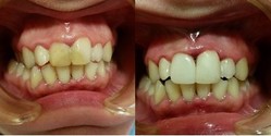
Odbudowa zęba kompozytem - zdjęcie przed i po
Odbudowa zęba kompozytem - zdjęcie przed i po
Odbudowa zęba kompozytem - zdjęcie przed i po
Odbudowa zęba kompozytem - zdjęcie przed i po
Odbudowa zęba kompozytem - zdjęcie przed i po
Odbudowa zęba kompozytem - zdjęcie przed i po
Odbudowa zęba kompozytem - zdjęcie przed i po
Odbudowa zęba kompozytem - zdjęcie przed i po
Odbudowa zęba kompozytem przed i po zabiegu
Odbudowa zęba kompozytem przed i po zabiegu
Odbudowa zęba kompozytem przed i po zabiegu
Odbudowa zęba kompozytem przed i po zabiegu
Odbudowa zęba kompozytem przed i po zabiegu
Odbudowa zęba kompozytem przed i po zabiegu
Nowy Impladent
Odbudowa zęba kompozytem przed i po zabiegu
Odbudowa zęba kompozytem przed i po zabiegu
Odbudowa zęba kompozytem przed i po zabiegu
Odbudowa zęba kompozytem przed i po zabiegu
Odbudowa zęba kompozytem przed i po zabiegu
Odbudowa zęba kompozytem przed i po zabiegu
Odbudowa zęba kompozytem przed i po zabiegu
Odbudowa zęba kompozytem przed i po zabiegu
Odbudowa zęba kompozytem przed i po zabiegu
Odbudowa zęba kompozytem przed i po zabiegu
Odbudowa zęba kompozytem przed i po zabiegu
Odbudowa zęba kompozytem przed i po zabiegu
Odbudowa zęba kompozytem przed i po zabiegu
Odbudowa zęba kompozytem przed i po zabiegu
Odbudowa zęba kompozytem przed i po zabiegu
Odbudowa zęba kompozytem przed i po zabiegu
Odbudowa zęba kompozytem przed i po zabiegu
Odbudowa zęba kompozytem przed i po zabiegu
Odbudowa zęba kompozytem przed i po zabiegu
Odbudowa zęba kompozytem przed i po zabiegu
Odbudowa zęba kompozytem przed i po zabiegu
Odbudowa zęba kompozytem przed i po zabiegu
Odbudowa zęba kompozytem przed i po zabiegu
Odbudowa zęba kompozytem przed i po zabiegu
Odbudowa zęba kompozytem przed i po zabiegu
Odbudowa zęba kompozytem przed i po zabiegu
Odbudowa zęba kompozytem przed i po zabiegu
Odbudowa zęba kompozytem przed i po zabiegu
Odbudowa zęba kompozytem przed i po zabiegu
Odbudowa zęba kompozytem przed i po zabiegu
Odbudowa zęba kompozytem przed i po zabiegu
Odbudowa zęba kompozytem przed i po zabiegu
Odbudowa zęba kompozytem przed i po zabiegu
Odbudowa zęba kompozytem przed i po zabiegu
Odbudowa zęba kompozytem przed i po zabiegu
Odbudowa zęba kompozytem przed i po zabiegu
Odbudowa zęba kompozytem przed i po zabiegu
Odbudowa zęba kompozytem przed i po zabiegu
Odbudowa zęba kompozytem przed i po zabiegu
Odbudowa zęba kompozytem przed i po zabiegu
Odbudowa zęba kompozytem przed i po zabiegu
Odbudowa zęba kompozytem przed i po zabiegu
minimalnie inwazyjna odbudowa kompozytowa utraconych tkanek zęba w celu poprawy estetyki uśmiechu
minimalnie inwazyjna odbudowa kompozytowa utraconych tkanek zęba w celu poprawy estetyki uśmiechu
Artyści Uśmiechu
poprawa uśmiechu materiałem kompozytowym wykonana na jednej wizycie
poprawa uśmiechu materiałem kompozytowym wykonana na jednej wizycie
Artyści Uśmiechu
nasi lekarze mistrzowie kompozytu są w stanie odbudować zęby po urazach tak że jest to całkowicie niewidoczne a efekt estetyczny jest rewelacyjny
nasi lekarze mistrzowie kompozytu są w stanie odbudować zęby po urazach tak że jest to całkowicie niewidoczne a efekt estetyczny jest rewelacyjny
Artyści Uśmiechu
wybierz miasto, w którym chcesz wykonać zabieg
Sprawdź ofertę »

Powyższe zdjęcia przedstawiają zabieg odbudowa zęba kompozytem - efekty przed i po zabiegach, które zostały wykonane m.in. przez lekarzy współpracujących z Kliniki.pl. Oferujemy zabieg odbudowa zęba kompozytem w ramach klinik w 5 miastach, m.in w Poznaniu, w Warszawie, w Łodzi, w Gdańsku czy w Gdyni.

Więcej na podobny temat

Wpisz zabieg, miejscowość, klinikę lub lekarza…