Tomografia stożkowa w stomatologii zapewnia znacznie większą dokładność niż tradycyjne zdjęcia rentgenowskie

Tomografia CBCT 3D jest jedną z najnowocześniejszych metod diagnostyki obrazowej stosowanych m.in. w stomatologii. Pozwala precyzyjnie zaplanować leczenie kanałowe, protetyczne, jak również implantologiczne, a także zapobiec przykrym niespodziankom w trakcie wykonywania zabiegów z zakresu chirurgii szczękowo-twarzowej. Jak działa i na czym polega tomografia CBCT 3D?


Słuchaj artykułu
Audio wygenerowane przez AI, może zawierać błędy
00:00
/
0:00

Streszczenie artykułu (AI):
Streszczenie wygenerowane przez AI, może zawierać błędy
Data aktualizacji
Czas czytania
7 min.
W skrócie o artykule
  • Rewolucja w diagnostyce stomatologicznej
    Tomografia CBCT 3D to nowoczesna metoda obrazowania, która umożliwia precyzyjne planowanie zabiegów stomatologicznych, minimalizując ryzyko powikłań.
  • Zastosowania CBCT w stomatologii
    CBCT 3D znajduje zastosowanie w endodoncji, ortodoncji, implantologii, protetyce i chirurgii szczękowo-twarzowej, oferując dokładne obrazy struktur zębowych.
  • Bezpieczeństwo i ograniczenia CBCT
    Choć CBCT 3D jest zaawansowaną technologią, wymaga ostrożności ze względu na dawkę promieniowania i nie zawsze jest dostępne w każdej placówce.

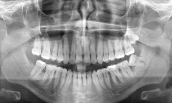
Dotychczas stomatolodzy, przystępując do leczenia endodontycznego czy protetycznego, mieli do dyspozycji głównie badanie rentgenowskie, które pozwala na zobrazowanie struktur zęba i otaczających go tkanek w technologii 2D. To wciąż jedna z najpopularniejszych, bardzo skutecznych metod diagnostycznych, ale ma jedną wadę - zdjęcie w 2D przynosi informację o wysokości i szerokości obiektu, ale nie o jego głębokości, co skutkuje nakładaniem się na siebie struktur.

Uzyskany obraz może być zdeformowany bądź nie do końca czytelny dla dentysty. Pojawiały się problemy z jego interpretacją, co utrudniało postawienie właściwej diagnozy. Szczególnie ważne jest to w planowaniu zabiegów chirurgicznych, leczenia kanałowego, osadzenia implantu w kości czy skomplikowanej ekstrakcji zęba. Z pomocą przyszła nowoczesna technologia.

Tomografia CBCT 3D - jakie stwarza możliwości?

Zbliżenie skanera cbct umieszczonego w jasnej, sterylnej klinice dentystycznej

Tomografia CBCT 3D jest nazywana również tomografią wiązki stożkowej, ponieważ do zobrazowania struktur wykorzystuje promienie rentgenowskie w postaci wiązki stożkowej. Za pomocą tomografii stożkowej można wykonać wirtualną rekonstrukcję 3D uzębienia pacjenta. Pozwala zobrazować wszystkie struktury pod dowolnym kątem: struktury kostne, korzenie zębów, zatoki, naczynia krwionośne czy nerwy.

Badanie wykonuje się, aby precyzyjnie zaplanować zabieg, zapobiec ewentualnym powikłaniom oraz kontrolować przebieg leczenia. Jednak, w porównaniu do tradycyjnej tomografii komputerowej, CBCT oferuje mniejszą rozdzielczość obrazów. Może to wpływać na diagnostykę szczegółowych struktur, takich jak drobne pęknięcia w zębach czy drobne zmiany kostne.

Informacja: Tomografia CBCT 3D jest szczególnie przydatna w identyfikacji problemów, które mogą nie być widoczne na tradycyjnych zdjęciach rentgenowskich.

Zastosowania tomografii CBCT 3D

Tomografia CBCT 3D znajduje zastosowanie w niemal wszystkich dziedzinach stomatologii:

  • endodoncji,
  • ortodoncji,
  • implantologii,
  • protetyce,
  • chirurgii szczękowo-twarzowej.

Badanie pozwala wykryć:

  • zmiany zapalne okołowierzchołkowe,
  • choroby przyzębia,
  • ubytki kostne w szczęce i żuchwie.

Ponadto Tomografia CBCT 3D służy do:

  • diagnostyki wad zgryzu,
  • diagnostyki zębów zatrzymanych,
  • diagnostyki dehiscencji kostnych.

Na czym polega badanie?

Lekarz ortodonta pokazuje chłopcu prześwietlenie zębów

Tomografia wiązki stożkowej pozwala na zobrazowanie twarzoczaszki w trakcie jednego obrotu tomografu, co redukuje dawkę promieniowania pochłanianą przez pacjenta do minimum i skraca czas trwania badania. Cała procedura trwa około kilkunastu sekund, a badanie nie wymaga od pacjenta specjalnego przygotowania.

Ramię tomografu obraca się wokół głowy pacjenta, rejestrując obraz z różnych stron. Otrzymany obraz charakteryzuje się wysoką precyzją i szczegółowością. Niezaprzeczalną zaletą tomografii CBCT 3D jest z pewnością możliwość archiwizowania i odtwarzania zdjęć na komputerze.

Pamiętaj: Tomografia CBCT 3D pozwala na dokładne planowanie zabiegów stomatologicznych, co zmniejsza ryzyko powikłań pooperacyjnych.

Mimo to, w porównaniu z innymi metodami diagnostycznymi, pacjent powinien być świadomy, że niektóre urządzenia CBCT mogą nie być dostępne w każdej placówce ze względu na wysoki koszt sprzętu i jego ograniczoną dostępność w niektórych regionach.

Bezpieczeństwo i ograniczenia CBCT

Choć tomografia CBCT 3D jest nowoczesnym i dokładnym narzędziem diagnostycznym, nie jest wolna od ograniczeń. Jednym z najważniejszych aspektów jest dawka promieniowania, która, choć mniejsza niż w przypadku tradycyjnych tomografów komputerowych, nadal wymaga ostrożności. Dlatego badanie to powinno być wykonywane tylko wtedy, gdy jest to absolutnie konieczne dla diagnostyki lub planowania leczenia.

Ważne: Przed podjęciem decyzji o wykonaniu tomografii CBCT 3D zawsze skonsultuj się z lekarzem, aby ocenić, czy korzyści przewyższają ryzyko związane z promieniowaniem.

Warto również wspomnieć, że niektóre osoby, takie jak kobiety w ciąży, powinny unikać ekspozycji na promieniowanie rentgenowskie, chyba że korzyści z badania przewyższają potencjalne ryzyko. Zawsze należy konsultować się z lekarzem przed podjęciem decyzji o wykonaniu tomografii CBCT.

W przypadkach, gdy CBCT nie jest dostępny lub nie jest zalecany, alternatywne metody diagnostyczne, takie jak zdjęcia panoramiczne, mogą być stosowane, choć oferują one ograniczoną informację w porównaniu do tomografii 3D.

Aktualne trendy w technologii CBCT

Profesjonalny dentysta pokazujący zdjęcie rentgenowskie szczęki i zębów oraz omawiający podczas konsultacji kwestie leczenia z pacjentem

Technologia CBCT stale się rozwija, a obecnie jednym z głównych trendów jest integracja z systemami CAD/CAM, co pozwala na jeszcze bardziej precyzyjne planowanie i realizację zabiegów stomatologicznych. Dzięki zaawansowanym algorytmom możliwe jest również lepsze dostosowanie obrazów do indywidualnych potrzeb pacjenta.

Kolejnym kierunkiem rozwoju jest stosowanie sztucznej inteligencji do analizy obrazów CBCT. AI może pomóc w automatycznym wykrywaniu anomalii oraz w zwiększeniu dokładności diagnozy, co jest szczególnie przydatne w skomplikowanych przypadkach klinicznych.

Ciekawostka: Wykorzystanie sztucznej inteligencji w analizie obrazów CBCT może znacząco przyspieszyć proces diagnostyczny i zwiększyć jego precyzję.

Posłuchaj artykułu:

Źródła:


Komentarze (0)

Komentarze (0)

Akcja
Krok
odyl
Nie opuszczaj
nas jeszcze!
Sprawdź, jak zdobyć smartwatcha dzięki akcji Krokodyl!
Tomografia stomatologiczna CBCT 3D

Wybierz miasto, aby znaleźć placówkę

Wpisz zabieg, miejscowość, klinikę lub lekarza…