Korona porcelanowa na podbudowie z tlenku cyrkonu Stargard i okolice
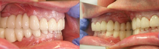
Bezpośrednio w Stargardzie nie dysponujemy placówką wykonującą korona porcelanowa na podbudowie z tlenku cyrkonu, natomiast możemy zaproponować wykonanie zabiegu w jednej z 1 innych klinik z okolicy Stargardu. Korona porcelanowa na podbudowie z tlenku cyrkonu można przeprowadzić m.in. w Płatek Centrum Stomatologia i Implantologia w Szczecinie (34 km od Stargardu) w cenie 1500 zł. W wymienionej placówce korona porcelanowa na podbudowie z tlenku cyrkonu wykonuje stomatolog. Wiecej informacji na temat zabiegu można przeczytać tutaj. Poniżej prezentujemy wszystkie alternatywne placówki, do których można umówić się na wizytę przez Kliniki.pl.
