Pantomogram – co to jest, jakie ma zastosowanie i dlaczego jest ważny?

Pantomogram, znany również jako panorama lub zdjęcie RTG pantomograficzne, to podstawowe narzędzie diagnostyczne wykorzystywane w stomatologii. Dzięki niemu dentyści mogą uzyskać kompleksowy obraz stanu zdrowia jamy ustnej pacjenta. Uwidaczniają wówczas zarówno zęby, jak i struktury kostne szczęki oraz żuchwy. Badanie pantomograficzne stanowi nieocenione wsparcie w planowaniu leczenia dentystycznego oraz monitorowaniu postępów terapii. Pomaga również ortodontom przygotowującym pacjentów do założenia aparatu, a także protetykom, którzy wykonują protezy zębowe i odbudowują zęby na implantach.


Streszczenie artykułu (AI):
Streszczenie wygenerowane przez AI, może zawierać błędy
Data publikacji
Czas czytania
3 min.

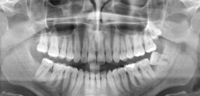
Co to jest pantomogram?

Pantomogram to zdjęcie RTG warstwowe szczęki i żuchwy. Umożliwia jednoczesne obrazowanie zębów, szczęki, żuchwy oraz większej części zatoki szczękowej, podniebienia twardego, a także stawów skroniowo-żuchwowych. Zajmuje ok. 15 sekund, a jego wyniki są dostępne już po kilku minutach od przeprowadzonej procedury.

Pamiętaj: Zdjęcie panoramiczne to podstawowe badanie diagnostyczne w stomatologii.

W ramach standardowej procedury pacjent zostaje poproszony przez elektroradiologa o włożenie do ust jednorazowego zagryzaka, który powinien dokładnie przylegać do górnych i dolnych „jedynek”. Następnie pacjent sięga rękoma przed siebie i chwyta aparat we wskazanym przez specjalistę miejscu. W kolejnym etapie powinien wykonać szeroki uśmiech, przylgnąć język do podniebienia i przełknąć ślinę. Przez cały czas pacjent musi pozostać nieruchomy — by nie zaburzyć uzyskanego obrazu badanych struktur.

Pantomogram a tradycyjne zdjęcia rentgenowskie

Tzw. panorama pozwala na ocenę całej jamy ustnej, podczas gdy RTG punktowe koncentrują się na badaniu pojedynczych zębów.

Dlaczego warto wykonać pantomogram?

Dzięki niemu możliwe jest ustalenie prawidłowej anatomii i wykrycie patologii w obrębie jamy ustnej. Specjalista porównuje prawą i lewą stronę szczęki i na tej podstawie stwierdza, czy w którymś obszarze widoczne są zmiany. Bierze wówczas pod uwagę takie aspekty jak m.in. lokalizacja wykrytych zmian anatomicznych, a także ich kształt i rozmiar oraz wewnętrzna struktura.

Na podstawie uzyskanych danych specjalista może ocenić np. jak wiele zębów zostanie zaatakowanych przez próchnicę. Dzięki temu łatwiejsze staje się ułożenie odpowiedniej strategii leczenia. Zwiększają się też szanse na sukces planowanej terapii. Należy mieć jednak na uwadze, że nie tylko lekarze stomatologii zachowawczej korzystają z badania pantomograficznego. Wykonują je także ortodonci przygotowujący pacjenta do leczenia ortodontycznego oraz protetycy wykonujący protezy zębowe i odbudowujący zęby na implantach.

Warto wiedzieć: W przypadku najmłodszych pacjentów takie zdjęcie pozwala na szybkie wykrycie ewentualnych zaburzeń rozwoju uzębienia i wdrożenie odpowiedniej terapii.

Czy wykonanie zdjęcia panoramicznego jest bezpieczne?

Wykonanie panoramicznego zdjęcia RTG jest bezpieczne dla pacjenta. Niezbędne jest natomiast przestrzeganie podstawowych procedur. Dawka promieniowania, którą wykorzystuje się do takiego badania, jest niewiele większa od dawki stosowanej podczas zwykłego RTG punktowego. Zazwyczaj wynosi ona od 7 do 12 µSv.

Pamiętaj: Pantomogram jest wykonywany wyłącznie na podstawie skierowania wystawionego przez lekarza.

Jak przygotować się do badania pantomograficznego?

Badanie pantomograficzne nie wymaga specjalnych przygotowań. Niemniej pacjent powinien tuż przed jego wykonaniem zdjąć z siebie wszelkie elementy zawierające metal, który mógłby zaburzyć obraz badanych struktur. Należy więc usunąć na czas badania:

  • biżuterię,
  • okulary,
  • wyjmowane protezy lub aparaty ortodontyczne,
  • elementy piercingu,
  • spinki do włosów czy gumki z metalowym łączeniem.

Uwaga: Korzystanie ze stałego aparatu ortodontycznego nie jest przeciwwskazaniem do wykonania pantomogramu.

Kiedy należy wykonać zdjęcie panoramiczne zębów?

Zdjęcie pantomograficzne jest wykonywane m.in. podczas leczenia próchnicy lub zapaleń przyzębia. Wskazaniem do takiego badania jest też potrzeba oceny stanu uzębienia — zwłaszcza wtedy, kiedy pacjent od długiego czasu nie miał robionego przeglądu u dentysty. Lekarze zlecają RTG panoramiczne zębów również w celu oceny efektów leczenia kanałowego. Zdjęcie panoramiczne sprawdza się też podczas planowania ekstrakcji zęba czy kontroli po przebytym przez pacjenta urazie szczęki lub żuchwy. Są to natomiast jedynie wybrane przypadki, w których niezbędne jest wykonanie opisywanego badania.

Najczęstsze wskazania:

  • potrzeba oceny stanu uzębienia,
  • planowanie leczenia ortodontycznego,
  • planowanie leczenia protetycznego,
  • potrzeba oceny efektów leczenia kanałowego,
  • planowanie usunięcia zęba,
  • kontrola rozwoju uzębienia u dzieci,
  • planowanie leczenia próchnicy,
  • planowanie leczenia zapalenia przyzębia,
  • kontrola pacjenta po przebytym urazie szczęki lub żuchwy,
  • diagnostyka i leczenie kamicy ślinianek,
  • planowanie zabiegu chirurgicznego: w celu wykluczenia stanów zapalnych.

Czy wiesz, że: Badanie to jest wykonywane nawet przed operacją zaćmy? Wynika to z potrzeby wykluczenia stanów zapalnych obecnych w organizmie pacjenta.

Ile kosztuje pantomogram?

Cena zdjęcia pantomograficznego wynosi obecnie ok. 80 zł. Jego koszt zależy m.in. od placówki, w której realizowane jest badanie.

Zdjęcia pantomograficzne zębów — przeciwwskazania

Takie badanie nie powinno być przeprowadzane u kobiet ciężarnych, ze względu na potencjalnie negatywny wpływ na rozwój płodu. Nie wykonuje się też go u małych dzieci, poniżej 5. roku życia. Istotną barierą jest również niemożność utrzymania przez pacjenta pionowej pozycji kręgosłupa szyjnego czy utrzymania nieruchomo głowy przez kilkanaście sekund. Badanie panoramiczne zębów może więc nie być możliwe m.in. w przypadku chorych na Parkinsona i pacjentów borykających się z tikami nerwowymi czy z wybranymi zaburzeniami psychicznymi.

Źródła:

Inne przydatne linki


Komentarze (0)

Komentarze (0)

RTG pantomograficzny

Wybierz miasto, aby znaleźć placówkę

Wpisz zabieg, miejscowość, klinikę lub lekarza…