Protezy zębowe zdjęcia przed i po

Zebraliśmy poniżej 35 zdjęć efektów przed i po zabiegu protezy zębowe, wykonanych przez 107 lekarzy (stomatolodzy, protetycy stomatologiczni i chirurdzy stomatolodzy) w ramach 135 placówek i 5 miast. Doradcy medyczni Kliniki.pl pomogą Państwu w znalezieniu terminu oraz rejestracji konsultacji w zakresie stomatologia.

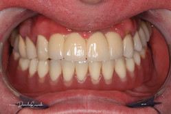
Proteza na 6 implantach efekty

Proteza na implantach
Proteza na implantach
Proteza na 6 implantach przed i po zabiegu
Proteza na 6 implantach przed i po zabiegu
Proteza na 6 implantach przed i po zabiegu
Proteza na 6 implantach przed i po zabiegu
Proteza na 6 implantach przed i po zabiegu
Proteza na 6 implantach przed i po zabiegu
Proteza na 6 implantach przed i po zabiegu
Proteza na 6 implantach przed i po zabiegu
Proteza na 6 implantach przed i po zabiegu
Proteza na 6 implantach przed i po zabiegu
Proteza na 6 implantach przed i po zabiegu
Proteza na 6 implantach przed i po zabiegu
Proteza na 6 implantach przed i po zabiegu
Proteza na 6 implantach przed i po zabiegu
Protezy zębowe od 100 zł
wybierz miasto, w którym chcesz wykonać
Sprawdź ofertę »

Proteza całkowita akrylowa - osiadająca (góra i dół) efekty

Proteza całkowita akrylowa - osiadająca (góra i dół) przed i po zabiegu
Proteza całkowita akrylowa - osiadająca (góra i dół) przed i po zabiegu
Proteza całkowita akrylowa - osiadająca (góra i dół) przed i po zabiegu
Proteza całkowita akrylowa - osiadająca (góra i dół) przed i po zabiegu
Protezy zębowe od 100 zł
wybierz miasto, w którym chcesz wykonać
Sprawdź ofertę »

Protezy zębowe zdjęcia przed i po

Proteza zębowa stabilizowana na 6 implantach
Proteza zębowa stabilizowana na 6 implantach
Exclusive Dental Studio
Protezy zębowe od 100 zł
wybierz miasto, w którym chcesz wykonać
Sprawdź ofertę »

Proteza częściowa akrylowa efekty po zabiegu

Proteza częściowa akrylowa przed i po zabiegu
Proteza częściowa akrylowa przed i po zabiegu
Nowy Impladent
Proteza częściowa akrylowa przed i po zabiegu
Proteza częściowa akrylowa przed i po zabiegu
Nowy Impladent
Protezy zębowe od 100 zł
wybierz miasto, w którym chcesz wykonać
Sprawdź ofertę »

Proteza szkieletowa metalowa efekty

Korony lane licowane ceramiką i szkieletowa proteza ruchoma
Korony lane licowane ceramiką i szkieletowa proteza ruchoma
Proteza szkieletowa metalowa przed i po zabiegu
Proteza szkieletowa metalowa przed i po zabiegu
Proteza szkieletowa metalowa przed i po zabiegu
Proteza szkieletowa metalowa przed i po zabiegu
Protezy zębowe od 100 zł
wybierz miasto, w którym chcesz wykonać
Sprawdź ofertę »

Proteza na belce Doldera na 2 implantach efekty po zabiegu

Proteza na belce Doldera na 2 implantach przed i po zabiegu
Proteza na belce Doldera na 2 implantach przed i po zabiegu
Nowy Impladent
Proteza na belce Doldera na 2 implantach przed i po zabiegu
Proteza na belce Doldera na 2 implantach przed i po zabiegu
Protezy zębowe od 100 zł
wybierz miasto, w którym chcesz wykonać
Sprawdź ofertę »

Proteza zębowa stabilizowana na 4 implantach efekty po zabiegu

Proteza zębowa stabilizowana na 4 implantach przed i po zabiegu
Proteza zębowa stabilizowana na 4 implantach przed i po zabiegu
Protezy zębowe od 100 zł
wybierz miasto, w którym chcesz wykonać
Sprawdź ofertę »

Proteza zębowa stabilizowana na 6 implantach efekty po zabiegu

Proteza zębowa stabilizowana na 6 implantach przed i po zabiegu
Proteza zębowa stabilizowana na 6 implantach przed i po zabiegu
Proteza zębowa stabilizowana na 6 implantach przed i po zabiegu
Proteza zębowa stabilizowana na 6 implantach przed i po zabiegu
Protezy zębowe od 100 zł
wybierz miasto, w którym chcesz wykonać
Sprawdź ofertę »

Proteza zębowa Lokator zdjęcia

Proteza zębowa Lokator przed i po zabiegu
Proteza zębowa Lokator przed i po zabiegu
Proteza zębowa Lokator przed i po zabiegu
Proteza zębowa Lokator przed i po zabiegu
Proteza zębowa Lokator przed i po zabiegu
Proteza zębowa Lokator przed i po zabiegu
Proteza zębowa Lokator przed i po zabiegu
Proteza zębowa Lokator przed i po zabiegu
Proteza zębowa Lokator przed i po zabiegu
Proteza zębowa Lokator przed i po zabiegu
Proteza zębowa Lokator przed i po zabiegu
Proteza zębowa Lokator przed i po zabiegu
Proteza zębowa Lokator przed i po zabiegu
Proteza zębowa Lokator przed i po zabiegu
Proteza zębowa Lokator przed i po zabiegu
Proteza zębowa Lokator przed i po zabiegu
Proteza zębowa Lokator przed i po zabiegu
Proteza zębowa Lokator przed i po zabiegu
Proteza zębowa Lokator zdjęcia - więcej zdjęć (14) »
Protezy zębowe od 100 zł
wybierz miasto, w którym chcesz wykonać
Sprawdź ofertę »

Powyższe zdjęcia przedstawiają protezy zębowe - efekty przed i po zabiegach, które zostały wykonane m.in. przez lekarzy współpracujących z Kliniki.pl. Oferujemy protezy zębowe w ramach klinik w 5 miastach, m.in w Warszawie, we Wrocławiu, w Łodzi, w Krakowie czy w Katowicach.

Więcej na podobny temat

Wpisz zabieg, miejscowość, klinikę lub lekarza…