NovoDent-Med Radomsko
Radomsko,
ul. 11 Listopada 11e/35 (36 km od Częstochowy)
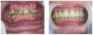
- Protetyka stomatologicznazadzwoń
- Protezy zębowe od 3000 zł
- Szyna relaksacyjna miękka 500 zł
- Licówka kompozytowa od 500 zł
- Konsultacja protetycznazadzwoń
