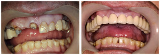
Medi Art Clinic
- Licówki zębowe od 2000 zł
- Licówka porcelanowa ultracienka (bez szlifowania) od 2000 zł
- Licówka pełnoceramiczna od 2000 zł
- Korona porcelanowa na podbudowie z tlenku cyrkonu 2500 zł
- Konsultacja protetyczna 300 zł
Zmień zabieg
Poznań
W Poznaniu posiadamy w ofercie 1 specjalistów, którzy są ekspertami od tej usługi. Lekarze przyjmują pacjentów w 10 różnych placówkach. Usługa protetyka stomatologiczna w Poznaniu jest najczęściej wykonywana przez stomatologa.
lekarz wykonujący zabiegi medycyny estetycznej
w Medycyna estetyczna dr Małgorzata Kmiecik (Poznań)
Prezentujemy poniżej ceny związane z procedurą protetyka stomatologiczna w Poznaniu na podstawie cenników z 10 placówek. Najniższa cena to 455 zł za licówka kompozytowa natomiast najwyższa cena w Poznaniu wynosi do 33850 zł (proteza szkieletowa metalowa).
Poniższy wykres przedstawia wizualnie minimalne i maksymalne ceny najpopularniejszych metod w ramach usługi protetyka stomatologiczna w poznańskich placówkach:
Tabelaryczne zestawienie szczegółowych cen w zależności od metody oraz placówki:
1500 zł
1500 zł
850 zł
od 1605 zł
do 1925 zł
od 1660 zł
do 1660 zł
od 2000 zł
do 2500 zł
1900 zł
1800 zł
2400 zł
800 zł
od 455 zł
do 860 zł
od 495 zł
do 495 zł
1900 zł
1850 zł
od 2600 zł
do 2700 zł
2500 zł
1600 zł
33850 zł
od 3723 zł
do 3723 zł
od 3800 zł
do 3800 zł
3500 zł
Posiadamy również ofertę w 47 innych miastach. Sprawdź ceny protetyka stomatologiczna w innych miastach.
Pacjenci szukali zabiegu protetyka stomatologiczna w pobliżu Poznania, w miejscowościach: Luboń.