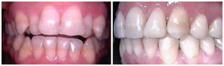
Ortodoncja to specyficzna gałąź medycyny, która zajmuje się leczeniem wad zgryzu. Leczeniem ortodontycznym zajmują się lekarze stomatolodzy, u których porady szukają pacjenci zmagający się z problemem nieestetycznych, krzywych zębów. Choć problem ten może wydawać się błahy, dość mocno rzutuje na codzienne funkcjonowanie. Niektóre osoby wstydzą się szeroko uśmiechać z obawy, że ich krzywe zęby zostaną zauważone. Leczenie ortodontyczne krzywych zębów opiera się na noszeniu aparatów ortodontycznych.
Ortodoncja w polskich klinikach stomatologicznych
Klinika stomatologiczna Heliodent w Bydgoszczy oferuje kompleksowe leczenie stomatologiczne przed założeniem aparatu stałego na zęby. Ortodonci stosują tu standardowe metalowe aparaty ortodontyczne oraz ceramiczne, które kolorystycznie są dopasowywane do barwy zębów tak, aby były mało widoczne. W Heliodent pracuje stomatolog dr Natalia Kazimierczak, której zamiłowaniem jest ortodoncja. Dr Kazimierczak zaleca przygotowanie zębów do założenia aparatu ortodontycznego poprzez wcześniejsze usunięcie kamienia nazębnego, a także dokładne wyleczenie próchnicy.
Problemem wad zgryzu w Lublinie zajmuje się ortodonta dr Beata Walawska, uczestniczka kursu pt. "Leczenie problemów pionowych u pacjentów dorosłych, zgryz otwarty, zgryz głęboki", a także "System Damona w leczeniu stawu skroniowo-żuchwowego". Lekarz pracuje w klinice stomatologicznej Ortomix, gdzie zajmuje się leczeniem aparatami zdejmowanymi w terapii cofniętej żuchwy, a także sprowadzaniem zębów zatrzymanych przy pomocy aparatu ortodontycznego. Z usług Ortomix mogą skorzystać też ci najmniejsi pacjenci, ponieważ dr Walawska przeprowadza leczenie ortodontyczne u dzieci.
Klinika Dental Comfort w Poznaniu specjalizuje się w ortodoncji funkcjonalnej i bezekstrakcyjnej. Stomatolodzy przeprowadzają tu leczenie ortodontyczne wspomagane mini-implantami. W Dental Comfort pracuje dentysta dr Dominik Matkowski, uczestnik kursu pt. "Strategie postępowania klinicznego w końcowej fazie leczenia ortodontycznego. Finishing w leczeniu ortodontycznym i interdyscyplinarnym", a także "Leczenie ortodontyczne dzieci i dorosłych przy zastosowaniu aparatu łuku prostego". Lekarz zaleca wykonanie cyfrowego pantomogramu przed leczeniem ortodontycznym.
Konsultacje z zakresu ortodoncji są możliwe również w Katowicach, a dokładnie w klinice stomatologii i medycyny estetycznej FreshMed, gdzie pracuje dentysta dr Alicja Mol. Lekarz posiada certyfikat z kursu pt. "Zakańczanie przypadków w ortodoncji" oraz "Leczenie trudnych wad zgryzu. Zaburzenia pionowe: jak i kiedy je leczyć". Dr Mol wykonuje m.in. takie zabiegi jak założenie aparatu Clear Aligner czy ściągnięcie aparatu stałego. W trudniejszych przypadkach lekarz stosuje tzw. płytkę Schwarza/aparaty Schwarza.
Ortodoncja w Toruniu jest w usługach Prywatnego Gabinetu Ortodontycznego Krystyny Łysiak i Małgorzaty Łysiak-Seichter. Dr Krystyna Łysiak należy do Polskiego Towarzystwa Ortodontycznejgo, a dr Seichter doświadczenie zdobywała w niemieckich klinikach uniwersyteckich. Stomatolodzy specjalizują się w leczeniu krzywych zębów stałymi aparatami ortodontycznymi. Na konsultacji ortodontycznej zwracają uwagę na występowanie skróconego wędzidełka języka, ponieważ z upływem czasu może ono doprowadzić do powstania wady zgryzu.
W Jeleniej Górze znajduje się gabinet Ortodoncja od A do Z, w którym można umówić się do stomatologa dr Agnieszki Zawiły, posiadającej specjalizację z ortodoncji. W gabinecie szczególnym zainteresowaniem cieszy się leczenie chrapania szynami TAP. Jeśli zaś chodzi o ortodoncję, dr Zawiła specjalizuje się w korekcji krzywych zębów aparatami ortodontycznymi różnego typu - stałymi, zdejmowanymi. Koryguje również inne wady zgryzu, m.in. leczenie tyłozgryzu, leczenie stłoczenia zębów.

