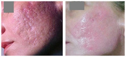
Blizny potrądzikowe na policzkach - usuwanie laserem Węgrzce i okolice

Bezpośrednio Węgrzce nie dysponujemy placówką wykonującą blizny potrądzikowe na policzkach - usuwanie laserem, natomiast możemy zaproponować wykonanie zabiegu w jednej z 10 innych klinik z okolicy Węgrzce. Blizny potrądzikowe na policzkach - usuwanie laserem można przeprowadzić m.in. w Centrum DER-MED Kraków w Krakowie (6 km od Węgrzce) w cenie 600 zł lub w Medistica Medycyna + Piękno w Krakowie (6 km od Węgrzce) gdzie cena za blizny potrądzikowe na policzkach - usuwanie laserem wynosi 1300 zł. Poniżej prezentujemy wszystkie alternatywne placówki, do których można umówić się na wizytę przez Kliniki.pl.

Blizny potrądzikowe na policzkach - usuwanie laserem najbliżej Węgrzce - cena

Prezentujemy poniżej ceny procedury blizny potrądzikowe na policzkach - usuwanie laserem w 10 placówkach Węgrzce. Najniższa cena wynosi 350 zł w Nuova Estetica, najwyższa to 1300 zł, natomiast średni koszt to 755 zł.

Ile kosztuje blizny potrądzikowe na policzkach - usuwanie laserem w najbliższej odległości od Węgrzce?

Poniższy wykres przedstawia wizualnie minimalne i maksymalne ceny najpopularniejszych metod w ramach usługi blizny potrądzikowe na policzkach - usuwanie laserem najbliżej Węgrzce:

Posiadamy również ofertę w 31 innych miastach. Sprawdź ceny blizny potrądzikowe na policzkach - usuwanie laserem w innych miastach.

Więcej na temat blizny potrądzikowe na policzkach - usuwanie laserem

Wpisz zabieg, miejscowość, klinikę lub lekarza…